传染性软疣是什么病?当你看到这篇文章时是否有对传染性软疣存在很多疑问?皮肤专家指出:传染性软疣是一种传染性极强的皮肤病。它是一种由软疣病毒感染引起的皮肤良性、自限性疾病,近年来发病率明显增高。本病多见于小儿和青少年,其传染途径有直接接触传染,也可通过共用毛巾、衣物等传染,在成人可通过性接触传染。
【发现】自己是否得了传染性软疣?
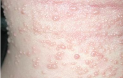
传染性软疣好发于儿童及青年人,潜伏期2周~6个月。皮损初起为白色、半球形丘疹,逐渐增大至5~10毫米,中央微凹如脐窝,有蜡样光泽,挑破顶端后,可挤出白色乳酪样物质,称为软疣小体。皮损数目不定,或散在,或簇集,一般互不融合。可发生于身体任何部位,但最常见于颈部、躯干、下腹部及外生殖器部位。多数情况下6~9个月后皮损可自行消退,一般不留瘢痕。

四川军大皮肤科医生解说传染性软疣的症状
症状一、女性传染性软疣在感染上后,一般是不会立刻就发病的,而是有着一个潜伏期,女性传染性软疣的潜伏期,相比较其他性病来说,潜伏期较短,仅仅为三到五天的时间,不过,女性传染性软疣患者无论是否出现溃疡或其他症状,此病毒都可长时期出现在阴道内,所以,女性在日常生活中应注意预防等措施,尤其是性生活卫生应该注意。男性同性恋者容易发生直肠肛门疱疹。患者肛门直肠疼痛,肛门有分泌物,大便时有里急后重感。
症状二、一般来说,传染性软疣患者在发病后,患者的患病部位主要集中在生殖器附近,如女性大小阴唇、阴蒂、阴阜、子宫颈、尿道口等等,都是女性传染性软疣的发病部位,传染性软疣患者在发病后,初阶段是没有明显症状表现的,或仅感到生殖器部位略有不适,有些患者的阴道周围,会出现疱疹或溃疡,甚至会延伸至阴道内。
皮肤医生提醒:得了传染性软疣,每个人的具体症状不尽相同,如果你有发现类似症状,及时咨询皮肤医生及时了解具体情况,避免耽误病情。
【警惕】传染性软疣带来的危害
传染性软疣具有一定危害,因为传染性软疣不仅是一种传染性皮肤病,和淋病、梅毒、生殖器疱疹一样,还是一种性病。但只要患者及早治疗,且治疗方法得当,就能大幅降低传染性软疣危害。
【避免】传染性软疣的危害,及时了解病因,及预防很重要
1、性接触
临床上该病患者中有多个性伴侣占绝大一部分,与多个性伴侣发生性行为发病的几率较高与单一性伴者,首次性交年龄小于19岁者,其发病率及复发率均显著增加;商业性工作者是传染性软疣的高危人群。
2、直接病毒感染
该病是由一种叫做人乳头病毒所致,损害部位多为生殖器外部皮肤,多因直接与被感染者发生性行为所致。目前大多数治疗方法只是去除有症状疣体,但并不能完全清除体内的病毒感染,有些感染者可以没有任何临床表现,称之为“亚临床感染”;原发损害治疗不够,如激光烧灼过浅,使治疗后的残余皮损中仍含病毒;部分病人尿道内60%或阴囊22%是hpv贮存库,是外阴hpv的散布源。
3、免疫功能失调
该病患者多因免疫力低下,如出现有恶性肿瘤、糖尿病、艾滋病、免疫抑制性化疗等患者,发病率及复发率均显著增加,且疣体体积也较大。
>>>点击免费了解更多关于“传染性软疣的发病原因”详情<<<
成都军大医院皮肤科医生指出:传染性软疣作为一种传染性极强的皮肤病,该病潜伏期长,一般不易被发现,很多患者都忽视了及时治疗。在此,提醒广大患者一定要引起重视,如有发现类似症状,及时确诊病情,要及时去正规医院做精准检查,及时对症治疗。
【康复检查】康复检查是保证治疗的关键一步,本着对患者高度负责的态度,成都军大医院皮肤科医生在征得患者同意的情况下,通过电话回访来了解患者的生活状况,及时解决生活中遇到的各种心理问题,从而巩固和增强患者对生活的信心。
>>>有任何疑问,点击此处可直接通过网络预约与医生交流获得相关治疗信息,同时获得更多诊疗便利。
温馨提示:得了传染性软疣一定要及时治疗,本病如不治疗,皮疹会越长越多,不易自动消退,及更多危害,故必须及早就医为妥。所以建议您及时到医院进行检查,早诊断早治疗。如果还有疑问,可拨打028-86270996咨询或在线咨询。
就医指南
1、我院已纳入预约挂号系统,市民可通过网络或电话028-86270996进行预约,优先就诊。
2、医院门诊时间:早8:00—晚17:30 (节假日无休)
上一篇:上一篇:【原因】为什么会起扁平疣?
下一篇:下一篇:寻常疣的病因及症状